株式会社エーアイ・アンド・アイ 人工知能・AI病理診断 細胞診断

資料請求・お問い合せ

Pathological AI:Cu-Cyto

  • 深層学習法による画像認識を行う病理・細胞診分野の人工知能(AI)
  • 細胞数の集計を自動化
  • リンパ節等の自動スクリーニング
  • PD-L1
    PD-L1
    PD-L1 発現のスコアリング
  • Lymph node
    Lymph node
    リンパ節への
    癌の転移をマーキング
  • BALF
    BALF
    BALFの細胞分画集計
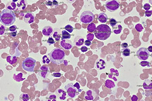
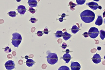
  • Bone marrow
    Bone marrow
    骨髄の血液系細胞の分類と集計

※Cu-Cyto は医療機器ではありません。

国際特許出願中

ページの先頭へ戻る